Cabinet dentaire du Docteur Philippe MEDIONI
Chirurgien-Dentiste à Boulogne Billancourt
Cabinet dentaire du Docteur Philippe MEDIONI
Chirurgien-Dentiste à Boulogne Billancourt

43 Avenue du Général Leclerc
92100 Boulogne Billancourt

PARODONTIE

Les traitements

Le Parodonte ..... Notre capital ..... Dentaire

Qu’est ce que la maladie parodontale ?
Le Parodonte est l’ensemble des tissus de soutien autour des dents (gencive, os, cément, ligament alvéolo-dentaire ou desmodonte). Lorsqu’il se détruit, c’est l’ancrage même de la dent qui se détruit.

La maladie parodontale ou (parodontite) se caractérise par une infection d’origine bactérienne de la gencive, et de l’os qui entourent les dents. Cette infection entraîne une inflammation et une destruction de l’os de la mâchoire ainsi qu’une migration de son niveau. On parle alors de déchaussement.

paro1
paro2

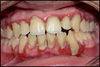
Gencive très inflammatoire

Déchaussement = migration des gencives

Pourquoi traiter ?
Lorsque la maladie progresse, une poche parodontale se forme entre la gencive et la dent. Elle devient rapidement le réceptacle d’une grande quantité de bactéries et de tartre ce qui aggrave l’irritation de la gencive, et empêche la guérison. À son stade le plus avancé, la maladie parodontale provoque la chute des dents.

Le déchaussement ne débute pas toujours par des douleurs gingivales, des saignements et des mobilités dentaires. Il est alors très important de consulter en cas d’apparition d’un de ces symptômes.

paro3

Les maladies parodontales également appelées parodontites (ou déchaussements des dents) touchent environ 80% de la population adulte occidentale, ce qui en fait la maladie chronique la plus fréquente. En outre, près de 15% des personnes qui en souffrent sont atteintes d’une forme sévère.

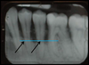
Comment mettre en évidence l’atteinte du niveau osseux

Seul l’examen radiographique permet de quantifier la perte osseuse et donc l’importance du déchaussement.

paro4

Atteinte superficielle

paro5

Atteinte sévère

paro6

Atteinte terminale

La PARODONTIE ….. Ou comment stopper la perte osseuse.

Le traitement parodontal permet de conserver des dents plus solides et plus longtemps. Il consiste à stopper l’inflammation responsable de la destruction du parodonte.
Pour éradiquer l’infection d’origine bactérienne, et l’inflammation qui en découle, le traitement porte avant tout sur un rétablissement de l’hygiène dentaire.

Au cabinet sont réalisées des séances de détartrage et curetage/surfaçage des racines. Tous nos traitements sont réalisés à l’aide d’un aéro-polisseur (Karcher d’eau et de bicarbonate de sodium) pour des nettoyages sans équivalents.

paro7

Au Cabinet : Traitement du déchaussement par un surfaçage autour de chaque dent

paro8

Au Cabinet : Tout nos détartrage sont accompagnés d’un aéro-polissage

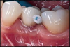
La PARODONTIE ….. Ou comment stopper la perte osseuse ....chez soi
Le patient est motivé à l’hygiène orale et renseigné sur les méthodes de brossage. Un matériel adapté à la forme de ses gencives (brossettes interdentaires) est prescrit.

En dehors du cabinet: seul un brossage minutieux permet un contrôle de plaque efficace.

paro9
paro10

Brossage quotidien d’une gencive enflammée à l’aide de brossettes interdentaires.

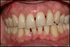
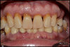
Ce traitement non chirurgical permet de retrouver une bonne hygiène bucco-dentaire.

paro11
paro12

Avant: Gencive Enflammée

Après: Gencive dégonflée et stabilisée
après 6 semaines de brossage

Le traitement non chirurgical ….. Ses limites
Si le traitement non chirurgical (curetage - surfaçage) ne suffit pas, votre chirurgien dentiste pourra vous proposer un traitement chirurgical tels que des lambeaux d’assainissement associés ou non à des greffes (techniques de régénération osseuse, chirurgies muccogingivales etc.)

Ces chirurgies permettent d’accéder aux surfaces dentaires et osseuses qui n’ont pu être nettoyée et de stopper efficacement le déchaussement.
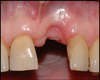
Enfin, même une dent à retirer, peut être extraite selon une approche parodontale. Le lambeau permet bien évidemment de retirer la dent condamnée mais aussi de nettoyer en profondeur les dents restantes. Ceci stoppe le déchaussement en évitant la propagation de la destruction osseuse et permet une reformation osseuse.

 

paro13

Destruction osseuse non comblée au cours de l’extraction
La perte osseuse est définitivement fixée

Création par Webdentiste

Connexion